Strona Główna
Kwalifikacje
Dr n. med. Małgorzata Bohater
Dr n. med. Paweł Bohater
Zakres usług
Leczenie ortodontyczne
Leczenie protetyczne i implantologiczne
Implanty zębowe
Korony protetyczne
Protezy kombinowane z zatrzaskami
Ortodonta Wrocław Czarnieckiego
Ortodoncja Wrocław
Aparaty stałe Wrocław
Wybielanie
Usuwanie zębów
Endodoncja mikroskopowa
Stomatologia estetyczna
Licówki we Wrocławiu
Nasze Przypadki
Leczenie ortodontyczne
Leczenie Protetyczne
Blog
Kontakt
Strona główna
Strona główna
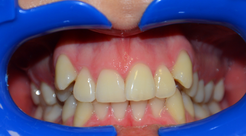
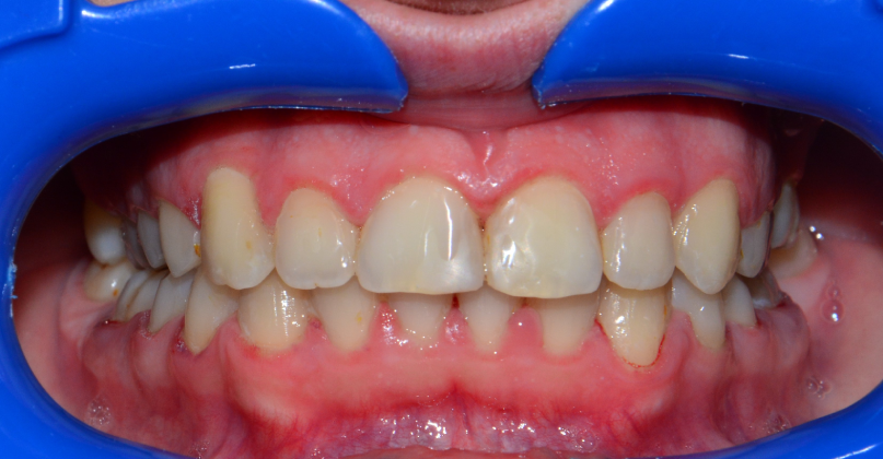
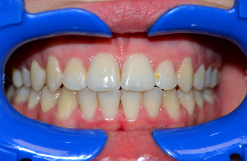
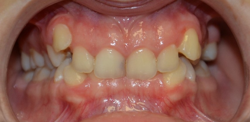
Nasze Przypadki
Leczenie ortodontyczne
Leczenie ortodontyczne
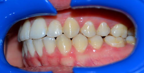
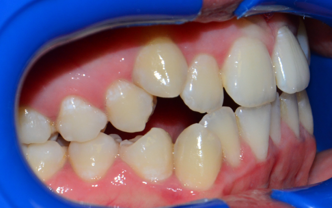
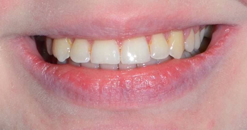
Przed
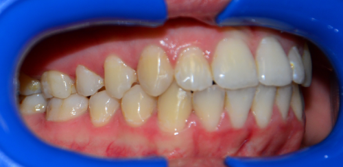
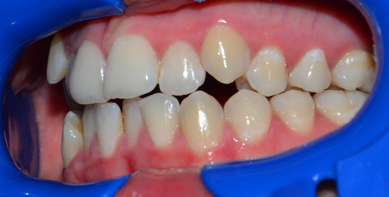
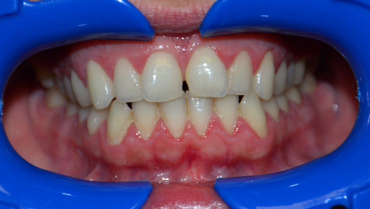
Po